癌症也分级别?
时间:2015-03-25 作者:挣脱枷锁的囚徒 点击:次
什么是癌症?人体细胞具有不断分裂增生能力,正常细胞的分裂是在一定调控程序控制下有序进行,而成熟细胞在一定程序控制下有序死亡,也称细胞凋亡。 体内部分细胞由于基因发生变异,分裂增生失去控制,过度无序增生的异常细胞也不能象正常细胞那样程序性凋亡,这类细胞就是癌症细胞。癌症细胞的另一个特点是可以穿破组织屏障浸润生长入周边组织;还能通过淋巴管和血管到达身体其他部位形成新的肿瘤,这个过程称为转移。 癌症细胞增生形成肿块,称为恶性肿瘤。 肿瘤的分级肿瘤细胞和组织在显微镜下观察表现出一定的异于正常细胞和组织的结构特征,也叫组织学特征。如果肿瘤细胞和组织接近于正常细胞和组织,这些肿瘤“分化良好”;相反,失去正常细胞形态和组织结构者为“低分化”或“未分化”。通常分化越好的肿瘤生长和扩散速度越慢,也就是我们通常说的恶性程度低;相反,肿瘤生长和扩散速度越快,即所谓恶性程度高。
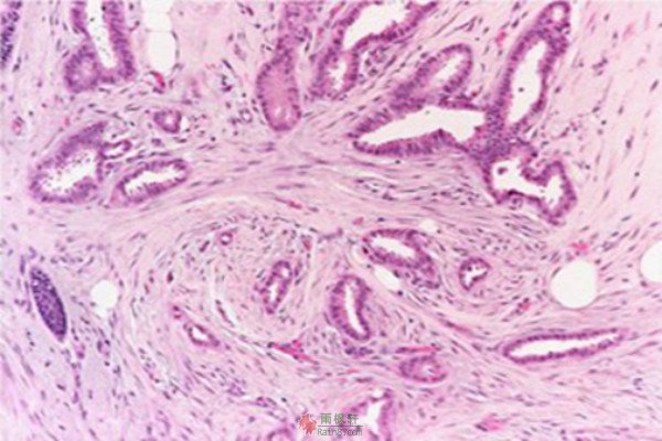
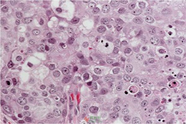
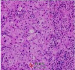
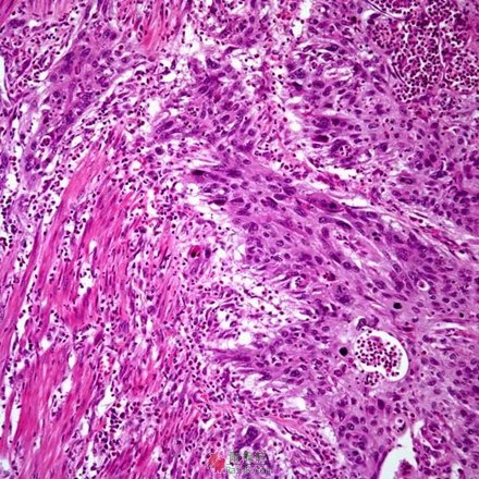
根据肿瘤细胞和组织显微镜下这些和其他一些的病理组织学特征,医生为大多数癌症设定和分配一个“级别”数值。 因此,癌症的分级也称病理学分级,就是癌症细胞和组织的“不正常程度”,或者“与正常细胞组织差异性程度”,是反应肿瘤生长和扩散速度的一个指标,简单来说所代表的是肿瘤的“侵犯性或进展性潜力”,通俗来说就是其恶性程度的大小。 癌症的分级与分期相对于癌症的分级,普通公众对于癌症的分歧可能更熟悉一些,就是人们常说的某某人的癌症是早期还是晚期。 癌症分期就是肿瘤所处的发展阶段,主要指原发肿瘤的大小、累及范围和是否已经扩撒。通常根据原发肿瘤的位置、大小、区域淋巴结是否受到侵犯累及,以及肿瘤的数目(也就是是否产生转移)这几个因素来确定。 如何获得肿瘤的分级?如果怀疑一个肿瘤是恶性的,医生会采取一个被称为活体组织病理学检查的方法(简称活检)来确定。这个过程包括医生切除肿瘤的部分或全部组织,由病理学医生把获得组织切成非常薄的切片,通常还进行染色等其他处理后在显微镜下对于细胞形态和组织结构进行观察,以确定肿瘤是恶性还是良性,同时还根据组织病理学特征进行病理学分级,即确定恶性程度等级。 如何划分肿瘤级别?由于癌症的组织病理学可能存在巨大差异,因此不同癌症可能会使用不同的分级系统。但是,在一般情况下,根据组织学上的异常程度,肿瘤被分为G1、G2、G3、G4等几个级别。 G1肿瘤为低级别肿瘤,细胞和组织形态接近于正常,这些肿瘤往往生长和扩散缓慢。与此相反,G3和G4肿瘤的组织学形态看起来与正常细胞和组织差异更大,称为高级别肿瘤,通常比低级别肿瘤生长和扩散更迅速。G2肿瘤则为中级别肿瘤。 非特定类型肿瘤通常的通用分级系统为: GX:级别无法评定(未定级); G1:高分化(低级别); G2:中度分化(中级别); G3:低分化(高级别); G4:未分化(高级别)。 ![]() 低级别(I级)乳腺 ![]() 高级别(III级)乳腺癌 高级别(III级)乳腺癌可见,肿瘤分级中的级别高低与分化程度的高低恰恰相反,分化程度越高级别越低,恶性程度也就越低;相反,分化程度越低级别越高,恶性程度也就越高。具体到徐才厚的“膀胱高级别尿路上皮癌”就是低分化程度、恶性程度高的膀胱癌。 ![]() 低级别膀胱移行细胞癌 ![]() 浸润性膀胱高级别尿路上皮癌 癌症分级的意义癌症的分级就是微观组织病理学上的异常性程度,也就是其恶性程度,通常反应肿瘤的生长和扩散速度。 掌握正确的癌症分级信息可以帮助医生结合诸如癌症所处的阶段(即分期),患者的年龄、一般健康状况来制定治疗方案计划,并确定患者的预后(即疾病可能的结果或过程,以及恢复或复发的机会)。通常,较低级别预示预后较好;更高级别的癌症预示生长和扩散更迅速,预后更差,相应的可能需要更及时或更积极的治疗。 癌症的分期什么是癌症的分期? 癌症是从单一的癌细胞发展来的。从癌细胞的出现,通过不断分裂增生形成肿瘤,发展到临床上可以检查出的肿块以及出现临床症状,乃至侵犯和转移其他组织部位,通常需要一个长达十数年到数十年的长期过程,因此癌症被归于一种慢性疾病。 |





